Meningioma Case study 1
50 years middle aged gentle man came to us on 27.09.2003 presented with Pain & progressive weakness whole of the left side; left facial palsy; headache since last three weeks.
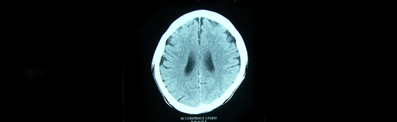
As per his initial observations, C.T.Scan of Brain done on 24.09.2003 shows "…Rounded isodense well outlined lesion at subcortical area of parietal lobe with marked perilesional edema showing compression on right lateral ventricle & right sylvian fissure- meningioma".
Gradually all his clinical symptoms has gone within two years of our medication, at present he has no pain in left side & no headache is there with gradual improvement of left sided weakness and left facial palsy. During his treatment Follow up C.T. Scan of Brain (Plain & Contrast Study) done on dated 06.09.2005 shows ….. " Normal CT scan of brain."
Now again the patient is enjoying his trouble free normal daily life without any medication.
